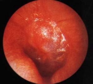
感冒,一旦出现流浓鼻涕,头痛,耳疼等症状,您就要小心了,感冒后期,易引发急性中耳炎,严重时会导致患者鼓膜穿孔,听力下降,感冒是引发急性渗出性中耳炎和急性化脓性中耳炎的重要原因。急性化脓性中耳炎,该病是因细菌经过咽鼓管进入耳朵鼓室而导致的,起初患者感到耳朵疼痛难忍,如果没有得到及时治疗,不久就会感到耳朵潮湿,疼痛大为减轻,有些人误以为病情以好转,便不再就医,其实疼痛减轻恰恰意味着鼓膜已经穿孔,听力已受到损伤。

感冒后如何预防中耳炎?首先要避免“危险动作”——擤鼻涕,感冒导致鼻塞,鼻涕多,呼吸不畅,有人不胜其烦,恨不得一次把鼻涕擤干净然而用力擤鼻涕危险多会将病毒和细菌通过咽鼓管带入耳朵,造成中耳感染。

此外感冒后喝酒将导致咽鼓管充血,肿胀,不易打开,使咽鼓管更加堵塞,从而增加患者中耳炎的危险。
看了以上内容,在感冒期间,您一定知道应注意些什么了,我们一定要保护好自己的耳朵,避免听力受损。
易声听力助听器(大庆让胡路店)
门店地址:大庆市让胡路区西滨路276号
联系电话:0459-6333887
上一篇:哪些人佩戴助听器效果好?如何正确看待助听效果?
下一篇:7个适应新助听器的技巧
